Dental Veneer and Thinner
Dental Veneer and Thinner Treatment In Kolkata
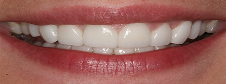
When any front intrinsically stained or discolored,slightly malshaped, mildly malposed, small spaces between front teeth these Veneer i.e.thin laminate lab made ceramic or composite sheet is bonded over minimally or zero modified labial(front) surface of that tooth.Thineers are nothing but ultrathin veneers.So if you want to bring back your eye-catching smile or want to put a new smile just make a call to Dentity Dental.

Gallery
Related Treatments

Artificial Teeth
When any tooth pulp became infected chronically the apex(end portion of tooth root in the jaw bone)may be affected by the pathological lesion . These kinds of periapical lesions are mostly cyst(periapical cyst) or may be granulomas, tumour also.When any RCT of any tooth is planned & with intracanal dressing the periapical pathology cannot be cured, the apicoectomy surgery is performed.With

Apicoectomy Surgery
When any tooth pulp became infected chronically the apex(end portion of tooth root in the jaw bone)may be affected by the pathological lesion . These kinds of periapical lesions are mostly cyst(periapical cyst) or may be granulomas, tumour also.When any RCT of any tooth is planned & with intracanal dressing the periapical pathology cannot be cured, the apicoectomy surgery is performed.With