Electro Surgery
Electro Surgery Treatment In Kolkata
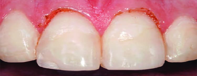
This is an advanced non-conventional precise oral surgical procedure used for the excision of oral infected or pathological soft tissue, electrocoagulation, electrocautery,crown lengthening, gingivectomy,removal of oral soft tissue growth with minimum or negligible bleeding & minimum intervention to adjacent living tissues.We have lots of satisfied patients who had undergone electrosurgery.

Gallery
Related Treatments

Artificial Teeth
When any tooth pulp became infected chronically the apex(end portion of tooth root in the jaw bone)may be affected by the pathological lesion . These kinds of periapical lesions are mostly cyst(periapical cyst) or may be granulomas, tumour also.When any RCT of any tooth is planned & with intracanal dressing the periapical pathology cannot be cured, the apicoectomy surgery is performed.With

Apicoectomy Surgery
When any tooth pulp became infected chronically the apex(end portion of tooth root in the jaw bone)may be affected by the pathological lesion . These kinds of periapical lesions are mostly cyst(periapical cyst) or may be granulomas, tumour also.When any RCT of any tooth is planned & with intracanal dressing the periapical pathology cannot be cured, the apicoectomy surgery is performed.With