Frenectomy and Frenuloplasty
Frenectomy and Frenuloplasty Treatment In Kolkata
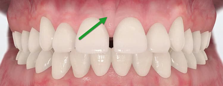
It is one type of procedure (Lasersurgical, Electrosurgical, conventional)in which our experienced surgeons remove/modify/release a band of tissue(Frenum) completely or partially that connects the underside of the tongue with the bottom of the mouth in a abnormal way(called Ankyloglossia or tongue tie) or remove/relocate/modify the abnormally attached tissue(Frenum) from inner surface of lips to gum or anterior hard palate. If this process is not done speech problem (specially in kids), problem during eating,gum problem, artificial Denture making problem,teeth malalignment or spacing between teeth may occur. If indicated you can take your appointment from DENTITY DENTAL for specialist Doctors of this field.

Gallery
Related Treatments

Artificial Teeth
When any tooth pulp became infected chronically the apex(end portion of tooth root in the jaw bone)may be affected by the pathological lesion . These kinds of periapical lesions are mostly cyst(periapical cyst) or may be granulomas, tumour also.When any RCT of any tooth is planned & with intracanal dressing the periapical pathology cannot be cured, the apicoectomy surgery is performed.With

Apicoectomy Surgery
When any tooth pulp became infected chronically the apex(end portion of tooth root in the jaw bone)may be affected by the pathological lesion . These kinds of periapical lesions are mostly cyst(periapical cyst) or may be granulomas, tumour also.When any RCT of any tooth is planned & with intracanal dressing the periapical pathology cannot be cured, the apicoectomy surgery is performed.With